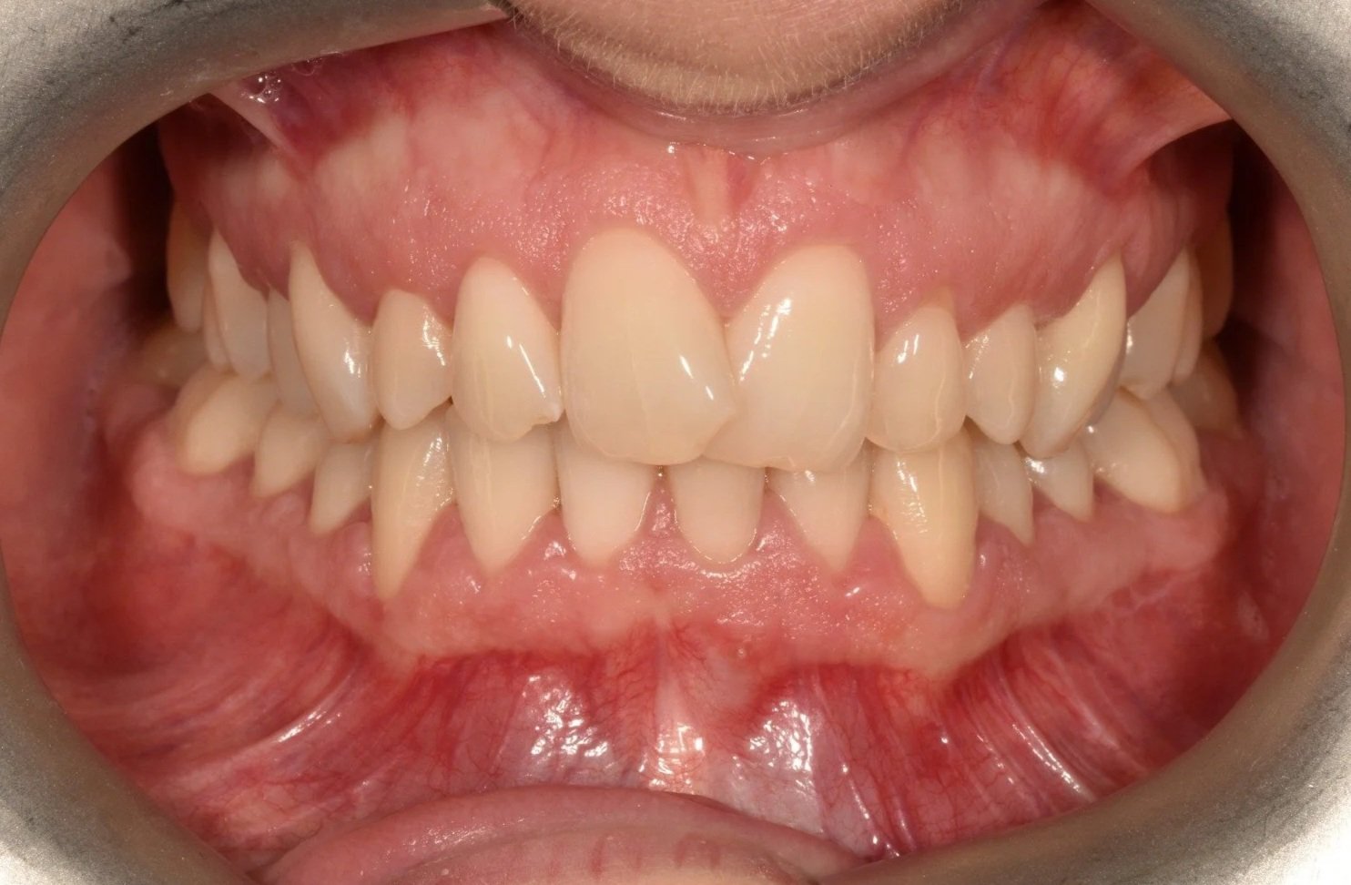
Caso di ortodonzia invisibile e sbiancamento. Diapositiva 1 Diapositiva 1 (diapositiva attuale) Diapositiva 2 Diapositiva 2 (diapositiva attuale) Diapositiva 3 Diapositiva 3 (diapositiva attuale) Diapositiva 4 Diapositiva 4 (diapositiva attuale) Diapositiva 5 Diapositiva 5 (diapositiva attuale)